
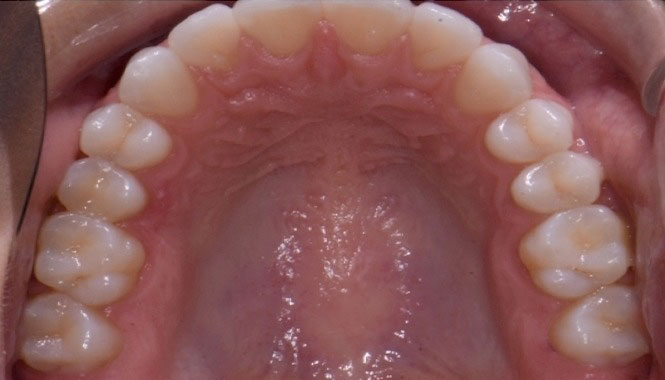
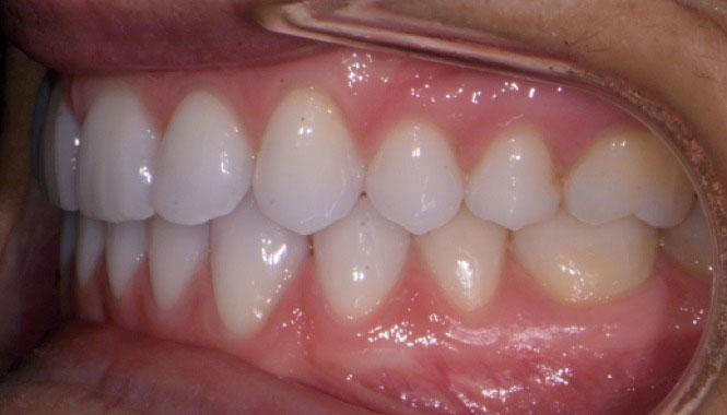
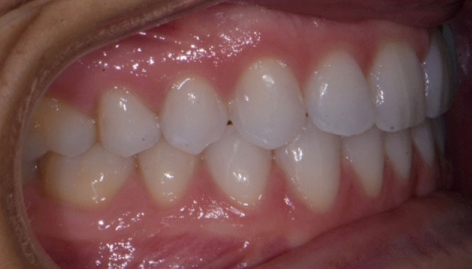
Begin your journey towards a better smile with a skilled orthodontist who is aware of your hectic schedule. Evaluate your eligibility for treatment from the convenience of your own phone. We will evaluate your smile and inform you if treatment is suitable for you. To begin, provide some information about yourself, and take some photographs of your teeth.





Fax: